Site Logotype
강남 미백&라미네이트

클레어치과의원

당신 안에 이미 존재하는 빛을 정교하게 다듬는 기술

Premium
Prices from $ 0.00
4.45 (143) | 253 booked

Details

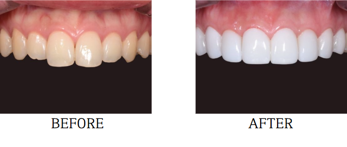
클레어치과의원

강남 라미네이트
잇몸 성형

치아 성형 전문 치과

CLAIRE Glow
CLAIRE Black
CLAIRE Black Material

서울대학교 치과대학과 공동 연구로
개발된 '글로우 글레이징(Glow Glazing)' 기법으로
치아 본연의 투명도와 빛 반사를 극대화합니다.

"

당신 안에 이미 존재하는 빛을 정교하게 다듬는 기술

"
CLAIRE glow
글로우 글레이징

글로우 글레이징

빛의 각도까지 계산하는 정밀 설계로
자연 치아와 같은 맑고 고급스러운 광감을 완성합니다.

디지털 스마일 디자인

라미네이트 전문 디자인 시스템

수많은 경험과 미적 감각을 기반으로
얼굴과 조화를 이루는 맞춤 치아 디자인을 구현합니다.

최소 삭제

0.01mm 치아 최소 삭제

0.01mm 단위까지 고려하는 세밀한 설계로
치아 손상은 줄이고 완성은 높입니다.

미소모델

잇몸성형

치아와 잇몸의 비율을 함께 디자인해
과도한 치아 삭제 없이 자연스럽고 깔끔한
미소 라인으로 개선하는 시술

라미네이트와 같이 가능합니다.

잇몸성형전후1 잇몸성형전후2

NOTICE

라미네이트 시술 소요 시간

맞춤 제작기간 단 4일
첫 내원 2시간, 두번째 내원 2-3시간

A/S 및 사후 관리

A/S 2년
책임제 서비스
치아색상 전/후 차이 기록

입원 여부

입원 X
모든 시술 당일 귀가
회복 관리 및 사후 케어 시스템 운영

잇몸성형

웃을 때 잇몸이 많이 보일 경우
치아가 짧아 보이거나 잇몸 라인이 불균형한 경우

인테리어

VIP룸 진료실

환자만을 위한 1:1 맞춤 진료 공간
세심한 환대와 고급스러운 라운지를 경험해 보실 수 있습니다.

최신 장비 보유 및 자체 기공실

대학병원 급의 장비와 최상급 재료를 사용하고,
자체 기공실을 보유하여 정교함을 위해 노력합니다.

1:1 전담 진료

처음부터 끝까지 책임 전담 및 지속 관리

결제 시스템

Alipay UnionPay UnionPay WeChat Pay

클레어치과의원

대표원장 김유나


  • 통합치의학 전문의
  • 서울대 치과대학 공동연구 라미네이트 글레이징 특허기술 개발
  • 오스템 임플란트 임상 자문의
  • 메가젠 임플란트 임상 자문의
  • 미국 Invisalign 투명교정 공식 인증의
  • 경희대학교 치의학전문대학원 우등졸업
  • 경희대학교 치과병원 인턴
  • 카이스트 생명과학과 졸업
  • 미국 심미치과학회(AACD) 회원
  • 대한 심미치과학회(KAED) 정회원
  • 대한 치과보철학회(KAP) 정회원
  • 대한구강악안면 임플란트학회(KAOMI) 정회원
  • 글로벌임플란트 연구회(GAO) 정규과정 수료
  • 미니쉬 아카데미 수료
대표원장

진료 안내

월/수/금
오전 10:00 ~ 오후 07:00
화/목
오전 10:00 ~ 오후 09:00
토 요 일
오전 10:00 ~ 오후 03:00
점심시간
오후 01:00 ~ 오후 02:30

일요일 및 공휴일 휴진

오시는길

서울특별시 강남구 선릉로 507 부일타워 4층

2호선 수인분당
선릉역 7번 출구 앞
(LG U+ 건물 4층)
오시는길 지도